Die technischen Fortschritte bei der Entwicklung neuer Ultraschallgeräte (hochfrequente Ultrabreitband-Linearschallköpfe, Matrixsonden, Verfahren zur Beurteilung der Mikrovaskularisation) sowie Verbesserungen bei der Darstellung von Punktionsnadeln haben in […]
Blickdiagnosen im MRT für MTR (Webinar | Online)
Dorina Petersen In der täglichen Routine hat man wenig Zeit, sich lange mit den Bildern zu beschäftigen, die man anfertigt. Dennoch soll man auf bestimmte […]
DEEP-Learning-Rekonstruktion in der Neuroradiologie (Webinar | Online)
Professor Dr. med. Marc Brockmann WEITERENTWICKLUNGEN VON KOPF BIS FUSS BEIM VC Oberstarzt Dr. med. Stephan Waldeck DEEP-LEARNING-REKONSTRUKTION IN DER NEURORADIOLOGIE Die CT ist ein […]
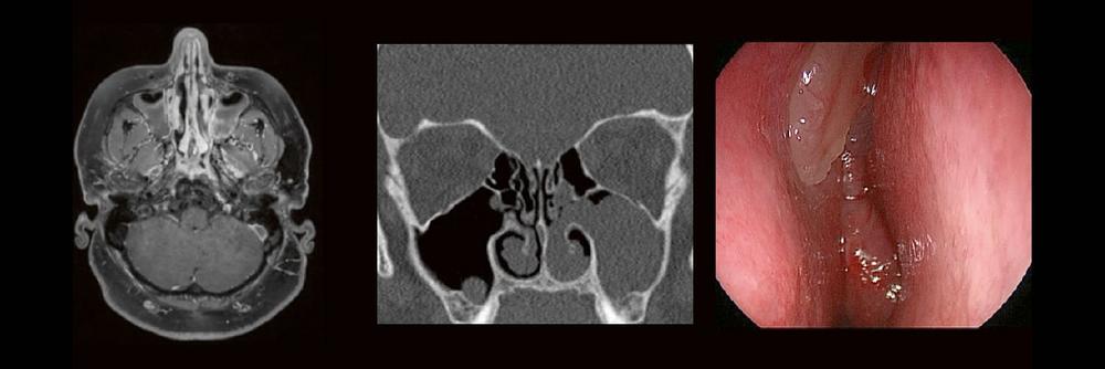
HNO & Radiologie: gemeinsam durch die NNH – ein Joint Venture (Webinar | Online)
Dr. med. André ReisbergDr. med Sebastian Plößl Die bildgebende HNO-Diagnostik macht es Anfängern nicht leicht. Die Anatomie ist komplex und weniger intuitiv als in anderen […]
Dual-Energy CT der Wirbelsäule: Technik und klinische Praxis (Webinar | Online)
Professor Dr. med. Matthias PumbergerPD Dr. med. Torsten Diekhoff Die Dual-Energy-Computertomographie (DECT) hat für viele klinische Anwendungen bereits Einzug in die Praxis genommen. Für die […]
Outside the box-Vortrag: die Neuroradiologie der Moral (Webinar | Online)
Professor Dr. med. Michael Knauth Das Treffen moralischer Entscheidungen erfordert – wie jede andere Hirnleistung auch – das Zusammenwirken verschiedener Hirnareale. Der Vortrag nimmt auf […]
MR-Spektroskopie: Hintergründe und Anwendung im klinischen Alltag – Teil 2 (Webinar | Online)
Dr. med. Urspeter Knecht Die MR-Spektroskopie – eine oft unterschätze Untersuchungsmethode – kann im Rahmen eines molekularen Fingerprints ein Game Changer sein in der neuroradiologischen […]
Bildnachverarbeitung in der CT (Webinar | Online)
Alex Riemer Moderne CT-Scanner unterstützen die Anwenderinnen und Anwender bei der Durchführung der meisten CT-Untersuchungen. Hierzu zählt auch das automatische Erstellen von streng coronalen und […]
Thermoablation von Nierentumoren (Webinar | Online)
Dr. med. Sascha Alexander Pietruschka Die Anwendung von ablativen Verfahren hat sich in der klinischen Praxis etabliert. Nierentumoren bieten sich für den Einsatz von RFA […]
Klinische Vorteile eines Software Upgrade mit künstlicher Intelligenz aus Sicht der MTR (Webinar | Online)
Jan Hendrik Falkenstein Künstliche Intelligenz spielt in der klinischen Anwendung eine immer größer werdende Rolle. Im radiologischen Sektor erfährt besonders die Magnetresonanztomographie aktuell einen regelrechten […]

